logo
Artículos

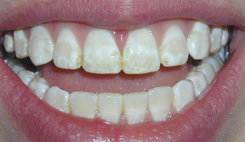
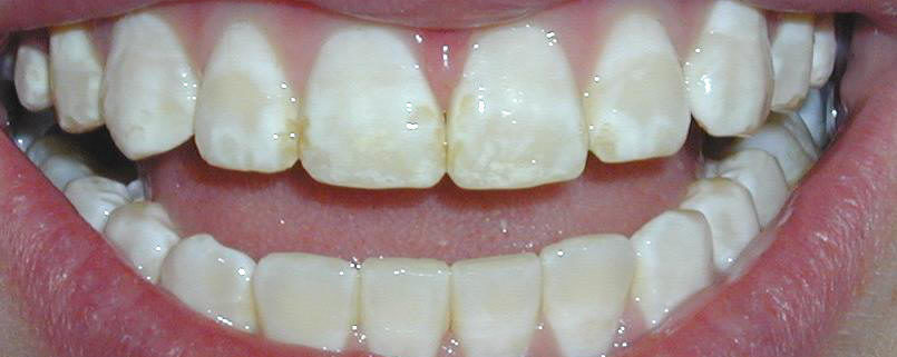
¿Qué es la fluorosis dental?

La fluorosis dental es un trastorno del diente causado por la ingesta excesiva o continuada de fluoruro durante el periodo de formación del diente. Se trata de una hipomineralización del esmalte o dentina causada por un aumento de la porosidad que se traduce en un aspecto anómalo de los dientes:
  • Estrías o líneas  (fluorosis dental leve)
  • Manchas blancas opacas (fluorosis dental moderada)
  • Esmalte quebradizo con manchas marrones (fluorosis dental severa)
 

Otras noticias relacionadas

¿Por qué es tan importante cepillarse la lengua?
Más vale un diente que un diamante
Qué hacer si el niño se da un golpe en un diente
Los Probióticos
Urgencias dentales más comunes

Más de 25 años cuidando la salud bucodental en Gijón

Llevamos más de 25 años ayudando a nuestros pacientes a mantener una sonrisa sana y funcional en Gijón.
En Clínica Dental Herrero del Pozo trabajamos con un enfoque cercano, honesto y basado en la odontología actual, priorizando siempre la prevención, la calidad del tratamiento y el bienestar de cada persona.

Nuestra misión es sencilla: que disfrutes de una salud bucodental de calidad y de una sonrisa que te acompañe toda la vida, con la tranquilidad de estar en manos de profesionales con experiencia.